Formaldehyde-Free Fixative Solution
FIXUP Solution®
A new fixative solution that is intended for the fixation and preservation of tissues for In Vitro Diagnostics.
FIXUP Solution is a formaldehyde/formalin-free dedicated in vitro diagnostic fixative solution. Its chemical mixture comprises safe materials that comply with safety and environmental standards. It is designed to replace 10% Neutral Buffered Formalin by penetrating more quickly yet fixing more gently.
This minimizes the damage to the tissue, enabling a more precise reading of the fixed tissue and allowing for further downstream molecular (DNA) diagnostics. In comparison, DNA test results are relative to 70% ethanol fixation over 10% NBF fixation, allowing researchers to perform all histological H&E, immune, cell, and molecular diagnostics via one tissue fixative.
REDUCING
restrictions on strengthening regulations of hazardous chemicals.
IMPROVEMENT
of the working environment.
employees’ health hazards and the resulting incidental costs.
REDUCTION
of freight costs by ensuring transportation safety.
REDUCE
Guarantees
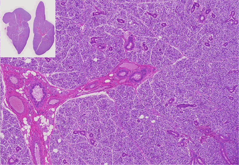
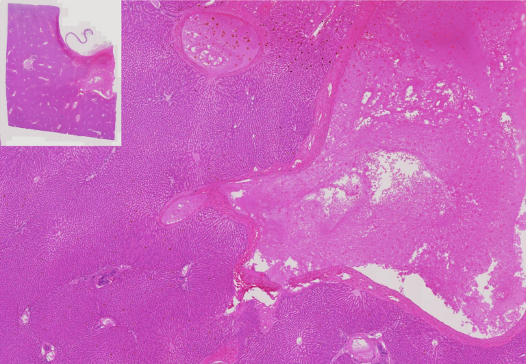
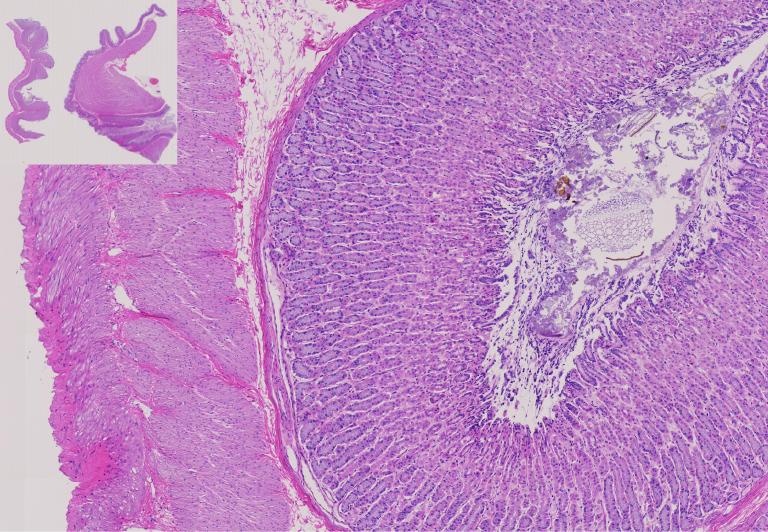
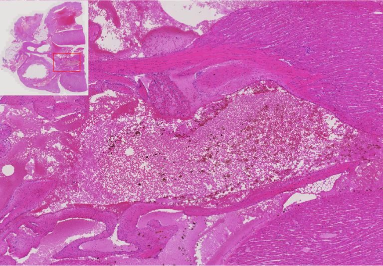
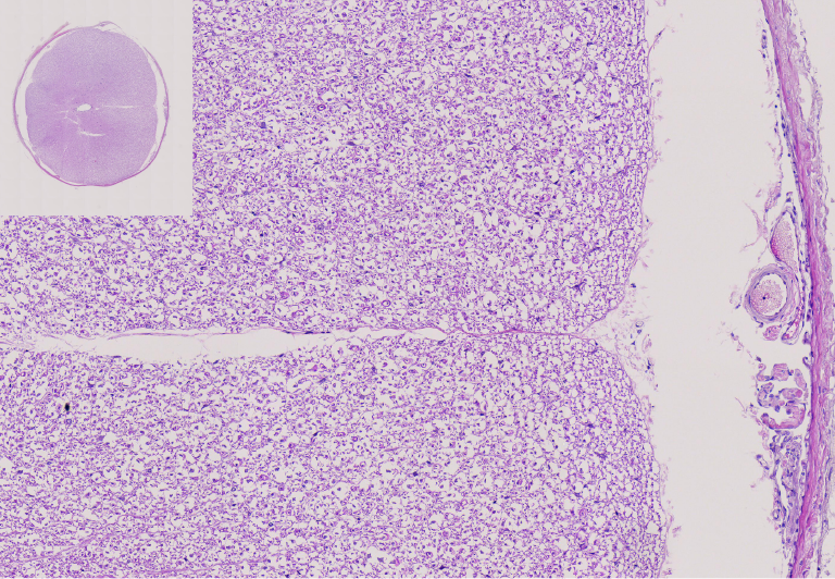
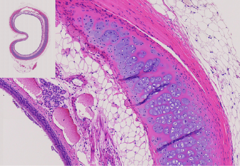
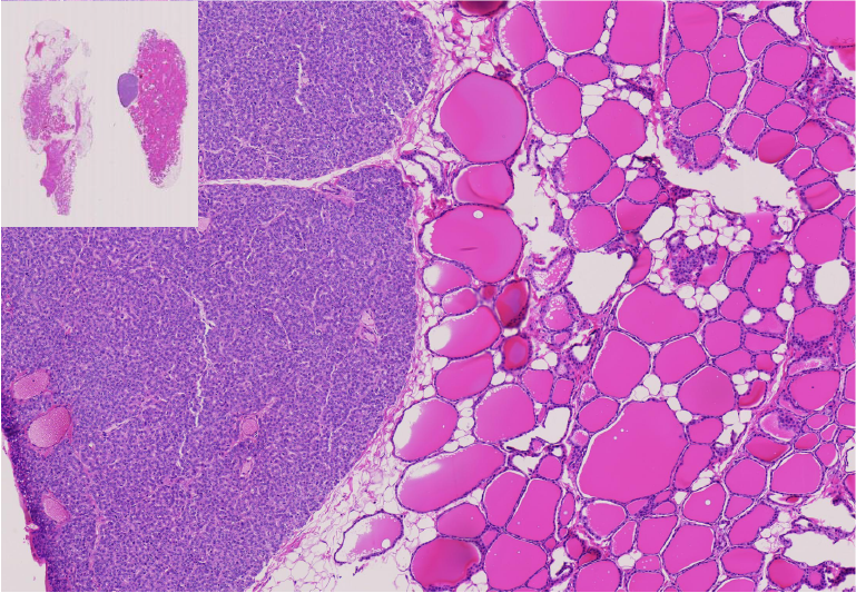
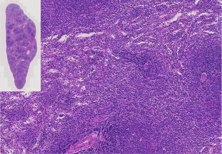
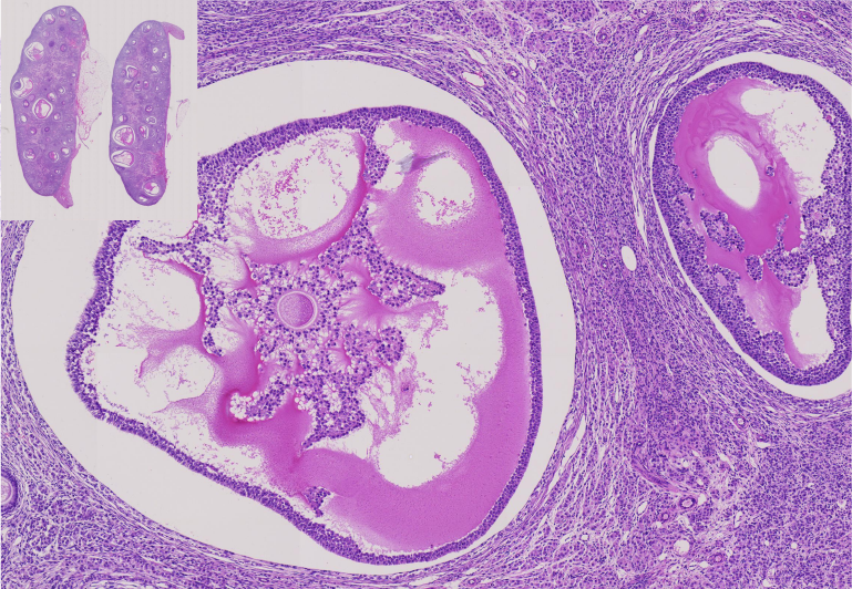
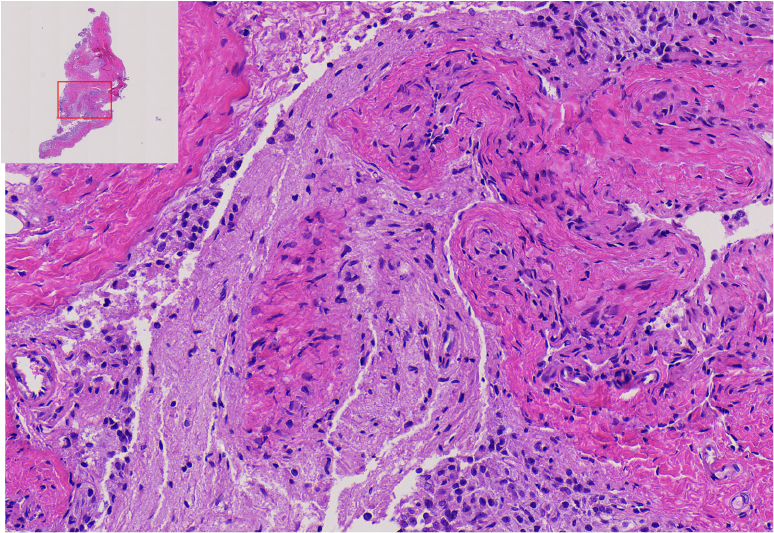
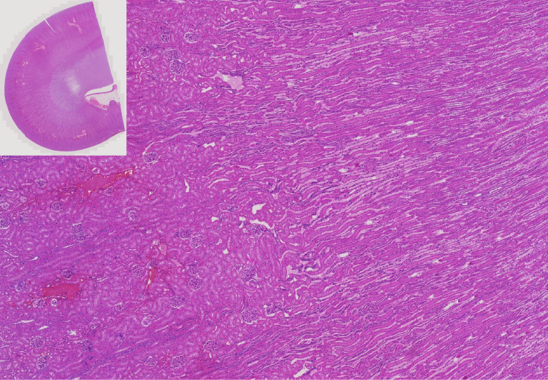
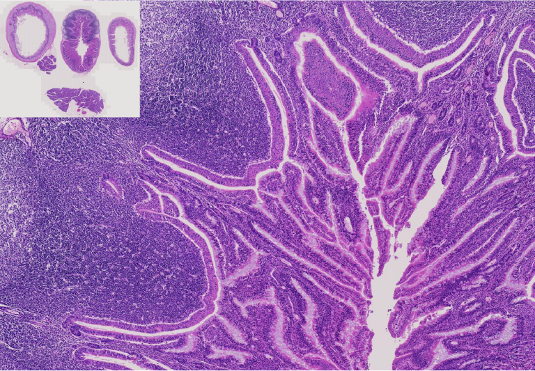
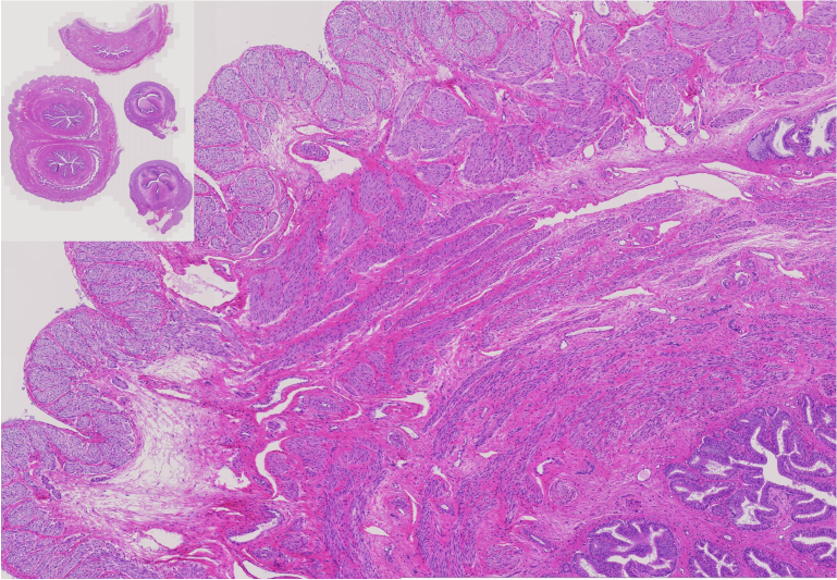
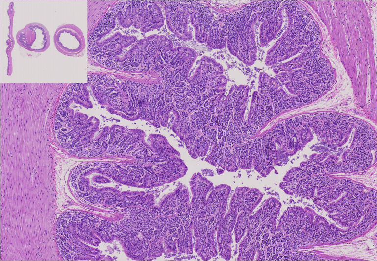
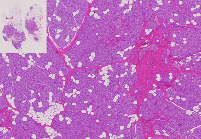
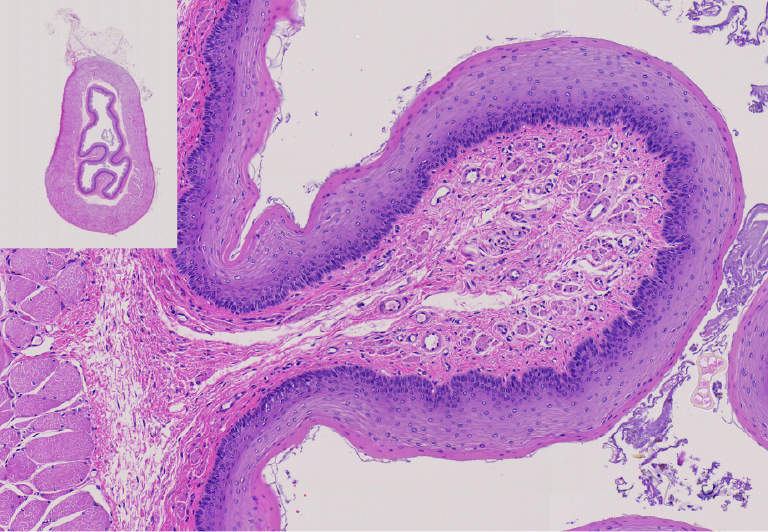
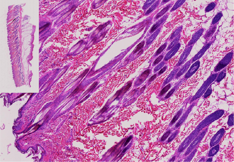
NOT RUIN H&E and IHC staining results.
NOT CONTAIN even 0.1% of formaldehyde.
COMPATIBLE with 10% Neutral Buffered Formalin.
This is the fact
THE ONLY WAY for all healthcare workers to avoid formaldehyde exposure is NOT TO USE formaldehyde!
Staining Results
Product Number
-
FIXUP Solution™ Prefilled 20mL, 96/Cs
-
FIXUP Solution™ Prefilled 40mL, 96/Cs
-
FIXUP Solution™ Prefilled 60mL, 96/Cs
-
FIXUP Solution™ Prefilled 90mL, 96/Cs
-
FIXUP Solution™ 1000mL, 4/Cs
-
FIXUP Solution™ 1gal., 4/Cs
-
FIXUP Solution™ 5gal., Cube w/Spigot
Ask for Sample
It is your first step away from class 1 carcinogens.

